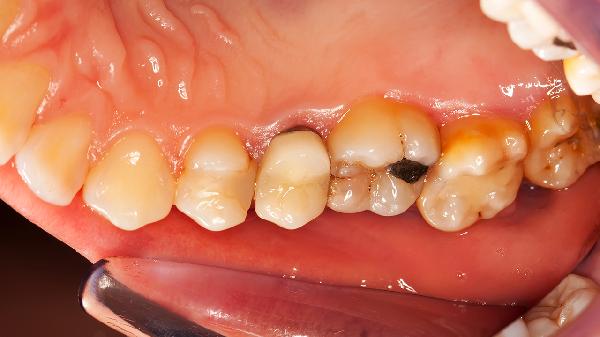
7岁宝宝的大牙烂了,是需要及时进行修补的。修补可以避免影响孩子的发育,保护恒牙的生长,并节省后期的治疗费用。
1、影响发育:宝宝的乳牙虽然会被恒牙替代,但它们在孩子的发育过程中仍然起着重要的作用。如果龋齿不及时修补,可能会导致孩子咀嚼不对称。长时间的咀嚼不对称会影响牙齿和面部肌肉的正常发育,可能会导致面部不对称或其他发育问题。

2、保护恒牙:修补龋齿不仅仅是为了现在的乳牙,更是为了将来的恒牙。如果龋齿不修补,可能会导致乳牙过早脱落,影响恒牙的正常萌出。恒牙萌出异常可能会导致错颌畸形,这不仅影响美观,还会增加后期矫正牙齿的费用和时间。
3、节省费用:及时修补龋齿可以避免后期更严重的问题。如果龋齿发展到需要拔牙或者矫正的程度,治疗费用会大大增加。及早治疗不仅能减少孩子的痛苦,还能节省家庭的医疗开支。
4、预防措施:龋齿的形成多半是因为孩子吃甜食较多,口腔卫生习惯不好。父母应当帮助孩子养成良好的口腔卫生习惯,少吃甜食,早晚按时刷牙。这样可以有效预防龋齿的发生,保护孩子的牙齿健康。
5、饮食建议:除了少吃甜食,还要注意避免吃太硬的食物。过硬的食物可能会伤到牙齿,特别是已经有龋齿的牙齿。可以多给孩子吃一些富含钙质和维生素的食物,如牛奶、鸡蛋、蔬菜和水果,帮助牙齿的健康发育。
6、定期检查:带孩子定期进行牙齿检查也是非常重要的。通过定期检查,可以及时发现并处理牙齿问题,避免龋齿进一步发展。牙医还可以给出专业的口腔护理建议,帮助孩子保持牙齿健康。
7、心理支持:有些孩子可能会害怕看牙医,父母需要给予足够的心理支持和鼓励。可以通过讲故事、看动画片等方式,让孩子了解看牙医的必要性和过程,减轻他们的恐惧感。

7岁宝宝的大牙烂了需要及时修补,这不仅对孩子的当前健康有益,还能保护恒牙的正常生长,节省后期的治疗费用。通过养成良好的口腔卫生习惯、合理的饮食和定期检查,可以有效预防龋齿的发生,确保孩子的牙齿健康。
2026-01-05
2026-01-05
2026-01-05
2026-01-05
2026-01-05
2026-01-05
2026-01-05
2026-01-05
2026-01-05
2026-01-05